Tomografía Coronarias

Video de Tomografía Cardiaca

La angiotomografía de coronarias es un método avanzado de imagen cardiovascular útil para valorar la anatomía de las arterias coronarias. Esto es; sin necesidad de realizar un cateterismo cardiaco.

La tomografía cardiaca (angiotac coronaria) combina una técnica especializada de Rayos X y sofisticadas computadoras que producen múltiples imágenes tomográficas del corazón.

La tomografía de coronarias (angiotac coronaria) es un estudio no invasivo que se realiza con tomografía computarizada. Por lo tanto, puede ser una alternativa al cateterismo cardíaco, el cual es invasivo y se relaciona a mayores complicaciones y mayor tiempo de recuperación. De esta forma, es posible valorar directamente a las arterias que irrigan al músculo cardiaco y determinar si existe una arteria bloqueada. Observa este video sobre la tomografía cardiaca.

Ventajas de Realizar tu estudio en el Hospital Puerta de Hierro:

Estudios que tomografía cardiaca que realizamos:

El score de calcio coronario es util para estratificar riesgo cardiovascular en pacientes asintomáticos. Tambien, sirve para definir con precisión el uso de estatinas en pacientes con riesgo cardiovascular limítrofe. Define también, el uso apropiado de estudios de imagen cardiovascular con estrés cuando el score de calcio coronario es mayor de 400 Unidades Agatston

La tomografía de corazón permite valorar la anatomía de las arterias coronarias. Tambien, definir si existe obstrucción de las arterias coronarias.

Permite valorar la Fracción de eyección del ventrículo derecho y también, la Fracción de eyección de ventrículo izquierdo

Software de Análisis de las coronarias:

  • En primer lugar, permite definir la presencia de una placa coronaria vulnerable (con riesgo de provocar un infarto)
  • Finalmente, permite delimitar con precisión el tamaño de la obstrucción y sugerir el tamaño de apropiado del STENT
Características de placas Vulnerables por Tomografía Cardiaca
Placas Vulnerables: Tomografía Cardíaca

Este protocolo tiene a gran ventaja de realizar con un solo disparo un estudio que valora el corazón y otras estructuras extra cardíacas que pueden causar dolor torácico. Con este estudio es posible hacer el diagnóstico de 3 padecimientos que pueden causar dolor de pecho:

  • En primer lugar, obstrucción de las arterias coronarias
  • En segundo lugar, disección, úlcera o aneurisma de la arteria aorta
  • Finalmente, tromboembolia pulmonar
Protesis valvulares aórticas por cateter
A) Core Valve
B) Edwards

Protocolo de TAVI y Tomografía de corazón.
Actualmente es posible realizar el cambio de la válvula aórtica sin necesidad de cirugía a corazón abierto. Esto es; mediante un cateterismo cardiaco y el implante de una prótesis percutánea (TAVI o TAVR). Para poder realizar el TAVI o TAVR es necesario realizar una tomografía de corazón con un protocolo especial que permite:

  1. Medición del Anillo aórtico:

    En primer lugar, hay que definir con gran precisión el tamaño del anillo aórtico, (esto permite seleccionar el tamaño de la prótesis aórtica percutánea) especialmente cuando es de morfología ovoide.
    Tomografia Cardiaca y medición del anillo aortico

  2. Cuantificación de Calcificación valvular aórtica:

    En segundo lugar, es muy importante cuantificar la severidad de la calcificación valvular. Tambien, se debe de determinar si la válvula aórtica es bivalva o trivalva (muy importante cuando existe dilatación aneurismática de la aorta ascendente).
    calcificacion de aorta bivalva sievers

  3. Distancia al Ostium Coronario:

    También, se debe de calcular la distancia que existe entre el ostium de las arterias coronarias y el anillo aórtico de la válvula aórtica.
    angiotac coronaria Distancia del anillo aortico al ostium coronario

  4. Accesos Vasculares:

    Así mimo, es posible medir el diámetro y la calcificación de los accesos vasculares para definir la vía idónea para implantar la prótesis. En pacientes con arterias femorales delgadas: no es posible realizar el implante de la TAVI.
    tomografía de corazón y medicion de accesos vasculares

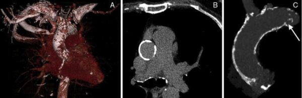
  5. Valorar la aorta ascendente

    Al mismo tiempo, se puede realizar una valoración de la aorta ascendente para definir el ángulo del cayado aórtico. Valorar su calcificación “aorta en porcelana” y sus diámetros “aneurisma” de aorta.
    aorta en porcelana tac de corazon

  6. Anatomía Coronaria

    Finalmente, durante la tomografía de corazón es posible valorar la anatomía de las arterias coronarias.
    arterias corornarias y tomografia cardiaca

  • En primer lugar, es importante verificar antes del estudio: que su riñón funcione correctamente, para lo que hay que realizar un estudio de creatinina y urea en sangre. (para este estudio se necesita medio de contraste).
  • En segundo lugar, es indispensable que usted reciba medicamentos para disminuir la frecuencia cardiaca (beta-bloqueadores). Habitualmente, 24-48 horas antes del estudio.
  • Idealmente; el día del estudio su corazón debe de latir una frecuencia cardiaca de 50 a 60 latidos por minuto.
  • También, debe de tener ayuno de 6 horas
  • Posteriormente, se le pegaran unos electrodos en el pecho. De esta forma; la adquisición de las imágenes se sincronizará con el latido cardiaco “Gated”.
  • Finalmente, se colocará una línea intravenosa para poder inyectar el contraste intravenoso (avise a su cardiólogo si usted es alérgico al yodo).
  • En primer lugar, sospecha de anatomía anormal (variantes congénitas) de las arterias coronarias.
  • Cuando los síntomas del paciente no concuerdan con los resultados de estudios de imagen previos (ecocardiograma con dobutamina, prueba de esfuerzo, SPECT cardíaco)
  • Ecocardiograma con dobutamina no concluyente
  • SPECT cardiaco (Gammagrama cardiaco con MIBI o Talio) no concluyente
  • También, en pacientes que presentan dolor torácico, con riesgo bajo o intermedio de enfermedad arterial coronaria obstructiva.
  • En pacientes con dolor de pecho y estudios de laboratorio, con electrocardiograma normal, no diagnósticos o no concluyentes.
  • Dolor torácico en estudio (piquetes, punzadas, sensación de calor, ardor etc.)
  • Sintomatología nueva o empeoramiento de los síntomas con una prueba de esfuerzo previa normal.
  • Prueba de esfuerzo no concluyente o poco clara.
  • Valoración preoperatoria en pacientes con riesgo intermedio de enfermedad coronaria obstructiva.
  • Insuficiencia cardíaca de nueva instalación en pacientes con riesgo bajo o intermedio de enfermedad coronaria obstructiva. (con alteraciones del metabolismo de los lípidos)
  • Previo a la realización de un estudio de ablación de venas pulmonares; para determinar la anatomía de la aurícula izquierda.
  • También, es útil descartar la presencia de trombos en la orejuela izquierda.
  • Los pacientes con sobrepeso extremo y con arritmias cardíacas. Desafortunadamente, no son buenos candidatos para la tomografía coronarias debido a la baja calidad de la imagen.
  • Si usted padece de arritmias o taquicardia, va a ser necesario utilizar medicamentos para controlar su frecuencia cardiaca antes del estudio.
  • A diferencia del cateterismo cardíaco, la tomografía coronaria es únicamente una prueba diagnóstica.  Por lo que no puede ser empleada para tratamiento.
  • La tomografía de coronarias, no es de utilidad en pacientes cuyas arterias presentan múltiples lesiones o placas con alto contenido de calcio.

Agenda con nosotros

Te puede interesar

Cateterismo Con STENT Cardiaco

Cateterismo Cardiaco Guadalajara

El cateterismo (o coronariografía), se realiza pinchando una arteria con un tubo diminuto (llamado catéter), esto les permite ver a su médico el interior de sus vasos sanguíneos y saber si el paciente es candidato a la colocación de un STENT cardíaco para mantener la arteria abierta (ya no son fabricados con acero inoxidable).

sintomas de la hipertension arterial

Cardiopatías congénitas en los Adultos

El avance de la cardiología y cirugía cardiovascular pediátrica, ha mejorado en los últimos años. Esto genera que un mayor número de niños con cardiopatias congénitas lleguen actualmente a la edad adulta.

Marcapasos

Bloqueos de Fascículo

Los bloqueos fasciculares son interrupciones en la conducción de impulsos en el fascículo izquierdo del corazón. El bloqueo fascicular anterior izquierdo es un tipo de bloqueo fascicular que interfiere con la señal de los latidos del corazón en el fascículo anterior izquierdo. Esto hace que el ventrículo izquierdo se contraiga más tarde que el derecho.
Electrocardiograma

Electrocardiograma Guadalajara

Un electrocardiograma en Guadalajara (ECG) es un examen que registra la actividad eléctrica del corazón. Por lo tanto, es útil para hacer el diagnóstico de enfermedad de las arterias del corazón y arritmias. Los cardiólogos en Guadalajara del hospital Puerta de Hierro Andares, contamos con la más alta tecnología para realizar su EKG.

¿Deseas agendar una cita?

Llena el siguiente formulario o escríbenos a cardiologosguadalajara.com.mx@gmail.com

agenda via teléfono

Agenda vía telefónica

Llamando al 3338131295

Comunícate con Cardiólogos en Guadalajara:

Contacto

Blvd. Puerta de Hierro 5090 (Arriba del Banco Santander), Zapopan, Jalisco 45116

+523338131295